Main Content
Advancing the Science and Technology of Memory
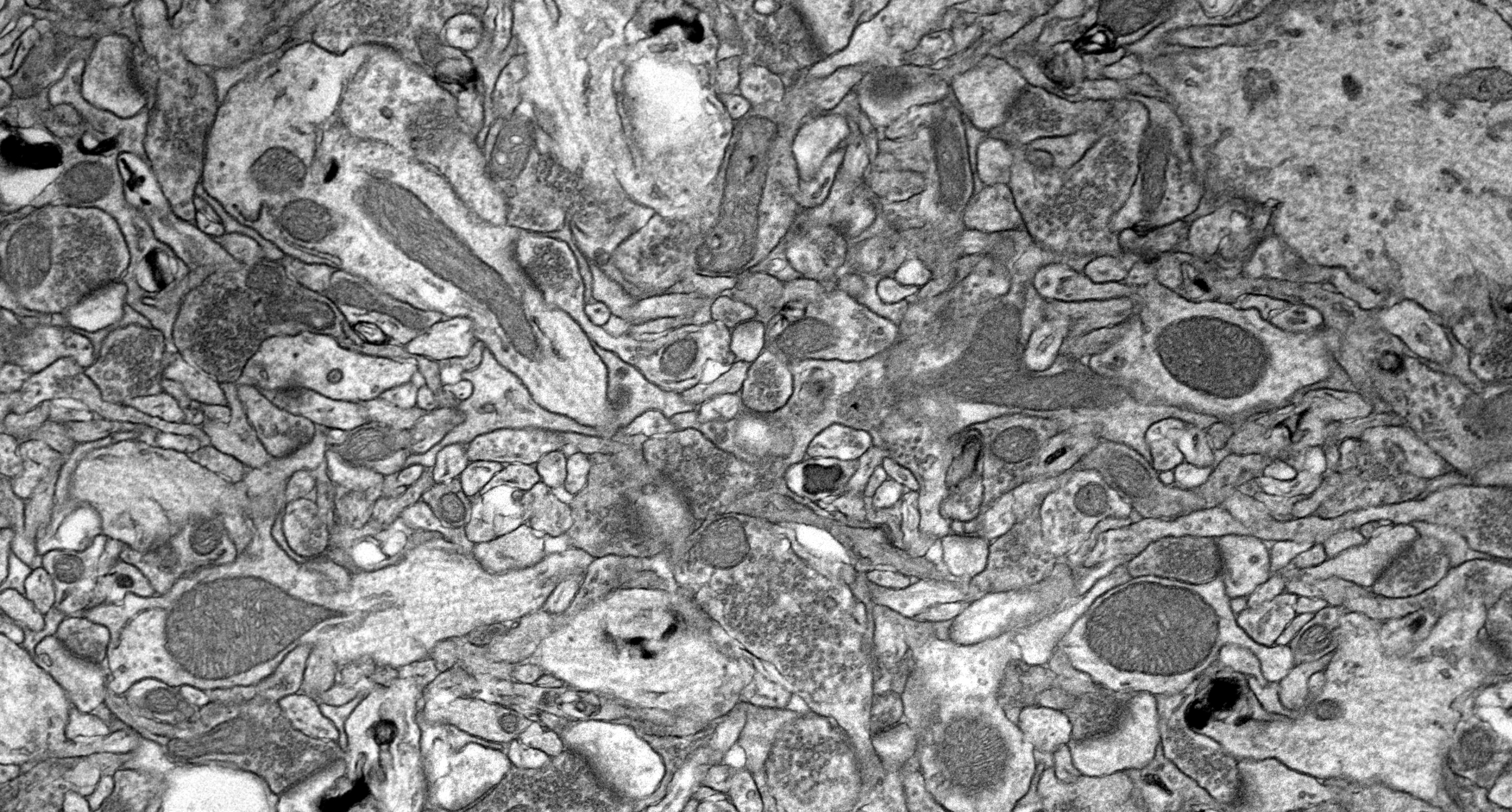
Research
Nectome is a research company dedicated to advancing the science of memory. We design and conduct experiments to discover how the brain physically creates memories. And, we develop biological preservation techniques to better preserve the physical traces of memory.
Connectome Preservation
The skeleton for building new models of the nervous system.
Molecular Dynamics
In silico modeling of vitrifixation processes. Directly complements biomolecular assay work.
Memory Extraction
Nascent subfield that is currently underexplored, but an area where we feel significant progress can be made.
Biomolecular Preservation
Verification of the efficacy of preservation for various classes of biomolecules.


